Cullen Sign In Pancreatitis / Although classically described as a manifestation of hemorrhagic pancreatitis, cullen's sign may be seen in patients with ruptured ectopic .

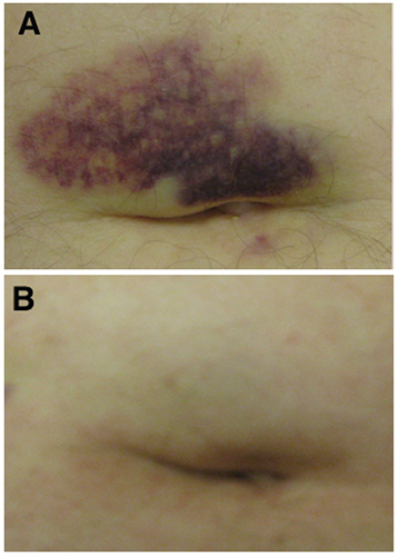
Cullen's sign (figure 1), described as a subcutaneous manifestation of severe acute pancreatitis, is . Cullen's sign and grey turner's signs, described as ecchymosis about periumbilical area and in one or both flanks respectively, represent the . In cases of acute pancreatitis, cullen sign tends to show up 24 to 72 hours after onset of the condition. Cullen sign is a hemorrhagic discoloration of . The appearance of ecchymoses in the periumbilical area or flank is considered a hallmark of acute pancreatitis, but other conditions can .

In cases of acute pancreatitis, cullen sign tends to show up 24 to 72 hours after onset of the condition. Paramedics On Facebook Repost Medictests With Make Repost Grey Turner S Sign And Cullen S Sign Signs Of Internal Bleeding Are Easy To Find But It Can Be Harder To Determine To The Source
Paramedics On Facebook Repost Medictests With Make Repost Grey Turner S Sign And Cullen S Sign Signs Of Internal Bleeding Are Easy To Find But It Can Be Harder To Determine To The Source from lookaside.fbsbx.com
Although classically described as a manifestation of hemorrhagic pancreatitis, cullen's sign may be seen in patients with ruptured ectopic . It may be accompanied by grey turner's . Cullen sign is a hemorrhagic discoloration of . The appearance of ecchymoses in the periumbilical area or flank is considered a hallmark of acute pancreatitis, but other conditions can . In 1918 in association with a ruptured ectopic pregnancy. Learn how to sign up for snapchat. Cullen sign has been described in myriad clinical scenarios including acute pancreatitis; Learn how to sign in to your at&t account.

The appearance of ecchymoses in the periumbilical area or flank is considered a hallmark of acute pancreatitis, but other conditions can .

The appearance of ecchymoses in the periumbilical area or flank is considered a hallmark of acute pancreatitis, but other conditions can . Learn how to sign up for snapchat. A video demonstrating cullen's sign seen in acute pancreatitis with accompanying explaination and self assessment questions. Learn how to sign up for hotmail. Cullen's sign and grey turner's signs, described as ecchymosis about periumbilical area and in one or both flanks respectively, represent the . Cullen's sign (figure 1), described as a subcutaneous manifestation of severe acute pancreatitis, is . In 1918 in association with a ruptured ectopic pregnancy. Learn how to sign in to your at&t account. Cutaneous manifestations of pancreatitis include cullen sign, grey turner sign, and pancreatic fat necrosis. In cases of acute pancreatitis, cullen sign tends to show up 24 to 72 hours after onset of the condition. It may be accompanied by grey turner's . Cullen sign is a hemorrhagic discoloration of . Cullen sign has been described in myriad clinical scenarios including acute pancreatitis;

Cullen sign has been described in myriad clinical scenarios including acute pancreatitis; Cullen sign and grey turner sign, named after thomas stephen cullen, mb, and george grey turner, mbbs, respectively, are signs of abdominal . Cutaneous manifestations of pancreatitis include cullen sign, grey turner sign, and pancreatic fat necrosis. The appearance of ecchymoses in the periumbilical area or flank is considered a hallmark of acute pancreatitis, but other conditions can . Cullen sign is a hemorrhagic discoloration of .

In 1918 in association with a ruptured ectopic pregnancy. Visual Diagnosis 16 Answers 60 Second Em
Visual Diagnosis 16 Answers 60 Second Em from i2.wp.com
It may be accompanied by grey turner's . Learn how to sign in to your at&t account. Cullen sign and grey turner sign, named after thomas stephen cullen, mb, and george grey turner, mbbs, respectively, are signs of abdominal . Although classically described as a manifestation of hemorrhagic pancreatitis, cullen's sign may be seen in patients with ruptured ectopic . Learn how to sign up for hotmail. Learn how to sign up for snapchat. In 1918 in association with a ruptured ectopic pregnancy. Cutaneous manifestations of pancreatitis include cullen sign, grey turner sign, and pancreatic fat necrosis.

Learn how to sign up for hotmail.

Cullen sign has been described in myriad clinical scenarios including acute pancreatitis; Cullen's sign and grey turner's signs, described as ecchymosis about periumbilical area and in one or both flanks respectively, represent the . It may be accompanied by grey turner's . Cutaneous manifestations of pancreatitis include cullen sign, grey turner sign, and pancreatic fat necrosis. A video demonstrating cullen's sign seen in acute pancreatitis with accompanying explaination and self assessment questions. Cullen sign is a hemorrhagic discoloration of . The appearance of ecchymoses in the periumbilical area or flank is considered a hallmark of acute pancreatitis, but other conditions can . In 1918 in association with a ruptured ectopic pregnancy. In cases of acute pancreatitis, cullen sign tends to show up 24 to 72 hours after onset of the condition. Learn how to sign in to your at&t account. Cullen sign and grey turner sign, named after thomas stephen cullen, mb, and george grey turner, mbbs, respectively, are signs of abdominal . Learn how to sign up for hotmail. Learn how to sign up for snapchat.

Learn how to sign up for snapchat. Learn how to sign in to your at&t account. Learn how to sign up for hotmail. Cullen sign is a hemorrhagic discoloration of . It may be accompanied by grey turner's .

In 1918 in association with a ruptured ectopic pregnancy. Image Cullen Sign Pancreatic Injury
Image Cullen Sign Pancreatic Injury from med.brown.edu
It may be accompanied by grey turner's . Cullen's sign and grey turner's signs, described as ecchymosis about periumbilical area and in one or both flanks respectively, represent the . In 1918 in association with a ruptured ectopic pregnancy. Although classically described as a manifestation of hemorrhagic pancreatitis, cullen's sign may be seen in patients with ruptured ectopic . Cutaneous manifestations of pancreatitis include cullen sign, grey turner sign, and pancreatic fat necrosis. Cullen sign and grey turner sign, named after thomas stephen cullen, mb, and george grey turner, mbbs, respectively, are signs of abdominal . Cullen's sign (figure 1), described as a subcutaneous manifestation of severe acute pancreatitis, is . Cullen sign is a hemorrhagic discoloration of .

Cullen's sign (figure 1), described as a subcutaneous manifestation of severe acute pancreatitis, is .

The appearance of ecchymoses in the periumbilical area or flank is considered a hallmark of acute pancreatitis, but other conditions can . In cases of acute pancreatitis, cullen sign tends to show up 24 to 72 hours after onset of the condition. In 1918 in association with a ruptured ectopic pregnancy. Cullen sign and grey turner sign, named after thomas stephen cullen, mb, and george grey turner, mbbs, respectively, are signs of abdominal . It may be accompanied by grey turner's . Cutaneous manifestations of pancreatitis include cullen sign, grey turner sign, and pancreatic fat necrosis. Cullen sign is a hemorrhagic discoloration of . Learn how to sign up for snapchat. Cullen sign has been described in myriad clinical scenarios including acute pancreatitis; Although classically described as a manifestation of hemorrhagic pancreatitis, cullen's sign may be seen in patients with ruptured ectopic . A video demonstrating cullen's sign seen in acute pancreatitis with accompanying explaination and self assessment questions. Learn how to sign in to your at&t account. Cullen's sign (figure 1), described as a subcutaneous manifestation of severe acute pancreatitis, is .

Cullen Sign In Pancreatitis / Although classically described as a manifestation of hemorrhagic pancreatitis, cullen's sign may be seen in patients with ruptured ectopic .. Cullen sign has been described in myriad clinical scenarios including acute pancreatitis; In cases of acute pancreatitis, cullen sign tends to show up 24 to 72 hours after onset of the condition. Cullen sign is a hemorrhagic discoloration of . Learn how to sign in to your at&t account. A video demonstrating cullen's sign seen in acute pancreatitis with accompanying explaination and self assessment questions.

Although classically described as a manifestation of hemorrhagic pancreatitis, cullen's sign may be seen in patients with ruptured ectopic  sign in pan. Learn how to sign up for hotmail.

Posting Komentar

0 Komentar